Inicio

CUIDAMOS DE TÍ

CUIDAMOS TU SONRISA

Cirugía 

Estética dental

Implantes Dentales

Odontopediatría

Operatoria

Ortodoncia

Prevención

Rehabilitación Oral

Endodoncia

Periodoncia

CLIENTES SATISFECHOS 

TESTIMONIOS

Atención de primera y profesionalismo del Doctor, recomendado 100%.

Gracias por contribuir para que nuestra sonrisa sea el reflejo de nuestro corazón.

Excelente servicio, equipos de última generación, eficiencia profesional y calidad humana.

Claudio Barros

04 Abr, 2019

Patricia Dávila

22 Oct, 2018

Enrique Monge

25 Oct, 2018

DENTISTGROUP PORQUE ELIGIRNOS

NUESTRAS VENTAJAS

DENTISTGROUP

HISTORIAS DE ÉXITO

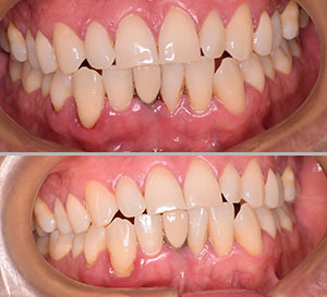
Antes

CARILLA DE SILICATO DE LITIO

En este tratamiento mejoramos tales puntos. Fases del Tratamiento:

  • Profilaxis, Blanqueamiento
  • Mock up, Tallado y toma de impresiones
  • Prueba de carillas, cementación

Después